座位と就寝時の動悸が激しい
座位と就寝時の動悸が激しく、動悸抑制の薬も効かないので、4月14日の不整脈科での定期検診を前倒しして、本日に検査にいました。
動悸が激しいので、4月2日に内科で見てもらい、心房細動の疑いのため、血液をサラサラにする「リクシアナ錠」と急な動悸を抑える「ベラパミル塩酸塩錠」の処方箋をもらい、飲用していました。
「リクシアナ錠」のおかげで、「脳梗塞」のリスクは低減したのですが、その後も動悸が激しく、頓服として「ベラパミル塩酸塩錠」を何度も飲んだのですが、動悸が収まらないので本日4月11日に現場は若い者に任せて、総合病院へ再診に行きました。
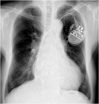
心電図、心エコー、胸部レントゲン、血液検査、ペースメーカーチェックのフルコースでした。
病院へ行くと動悸の症状がなくなる
本当に不思議なことですが、病院へ行くと、動悸の症状がなくなっていました。
すべての検査を終え、ペースメーカーチェックをしてもらっていた時、どのような動悸なのか再現してもらったら、当てはまる症状になりました。
故意にペースメーカーで脈拍を上げてもらったのですが、それが毎日生じている症状と同じでした。
ペースメーカーの誤作動でなく、正常に動作している証拠
ここでペースメーカー技師に調べてもらったのですが、ペースメーカーの電池の寿命が近づいたために、ペースメーカーの設定が、脈拍が70以下になると作動する設定に切り替わっていたということでした。
いわゆる電池の寿命が来ると、右心室を強制的にペーシングして、脈拍が落ちないように初期設定されているということでした。
仕事をして、体を動かしているときは、脈拍が70を超えているので、ペーシングせずに、デスクワークや、就寝時は、脈が落ちるために、連続でペーシングしていたようです。
寝ている間は、動悸が止まらなかったのが理解できます。お風呂に入っているときも動悸がせずに、その後にこのブログを書いているときに、ずっと動悸が続いていました。
ペーシングの設定値を30まで下げてもらう
原因が分かったので、ペーシングの設定値を30まで下げてもらい、本日夜になった今も一度も動悸がしていません。
症状が心房細動そのものだったのが、最初の診察で分からなかった点です。左胸を下にしたり仰向けだと、激しい動悸がしていました。
動悸しない時があるのも心房細動と同じ症状なのが誤解しやすいようです。
今回は、ペースメーカー技師と、担当医の適切な判断で、ペースメーカーを植え込んでいたために生じた特殊な動悸を見つけていただき、救われました。
現場仕事をしているので、小さなけがの連続で出血することはよくあることです。「リクシアナ錠」を飲み続けなければいけないと、諦めていたのが、今日から飲まなくて済むのが、とても助かります。
胸部レントゲン、心エコーとも異常が見つかりませんでした。血液検査では、糖尿がで、言われているクレアチニンの値が高いことだけ指摘を受けました。
コロナウイルスワクチン接種と時期が、たまたま重なってややこしくなりましたが、ワクチンは何の関係もないことも分かりました。
この前も書いたことですが、またしても「人生万事塞翁が馬」のたとえ通りでした。

三日間の血糖値と食事に合わせたインスリン注射量
本日のデータ(朝食前血糖値を解かりやすくするため、昨夕からとします)
・昨夕食:キムチ牛丼。
・朝食前血糖値は少し高く、138mg/dlでした。
・朝食 : 食パン1枚、サラダ、ヨーグルト。
・午前中は、不整脈科でで診察でした。。
・昼食前血糖値は少し高く、159mg/dlでした。
・昼食 :「なか卯」あさりくりーむ親子丼。
・午後からも不整脈科で診察でした。
・夕食前血糖値は高く、262mg/dlでした(昼食が高カロリーでした)。
・夕食:鮭、鶏、そぼろ丼、サラダ。
| 2022-04-11 | 血糖値 | 食事 | 即効性インスリン 注射量 | 持続性インスリン 注射量 |
| 昨夕時 | 108 | キムチ牛丼 | 15 | 17 |
| 今朝時 | 138 | 食パン一枚、サラダ ヨーグルト | 11 | |
| 今昼時 | 159 | あさりくりーむ親子丼 | 14 | |
| 今夕時 | 262 | 鮭、鶏、そぼろ丼 サラダ | 16 | 18 |


昨日のデータ(朝食前血糖値を解かりやすくするため、昨夕からとします)
・昨夕食:ハンバーグ、ポテトサラダ、コーンスープ、ご飯一膳160g。
・朝食前血糖値は少し高く、149mg/dlでした。
・朝食 : 食パン1枚、サラダ、ヨーグルト。
・午前中は、ペットと散歩に行きました。
・昼食前血糖値は少し高く、175mg/dlでした。
・昼食 :カップ麵、ヨーグルト。
・午後からは、出かけました。
・夕食前血糖値は良好で、108mg/dlでした。
・夕食:「すき家」キムチ牛丼。
| 2022-04-10 | 血糖値 | 食事 | 即効性インスリン 注射量 | 持続性インスリン 注射量 |
| 昨夕時 | 99 | ハンバーグ、ポテトサラダ コーンスープ、ご飯一膳160g | 14 | 16 |
| 今朝時 | 149 | サンドイッチ、サラダ ヨーグルト | 11 | |
| 今昼時 | 175 | カップ麵、ヨーグルト | 11 | |
| 今夕時 | 108 | キムチ牛丼 | 15 | 17 |


一昨日のデータ(朝食前血糖値を解かりやすくするため、昨夕からとします)
・昨夕食:ハンバーグ、ポテトサラダ、コーンスープ、ご飯一膳160g。
・朝食前血糖値は少し高く、149mg/dlでした。
・朝食 : 食パン1枚、サラダ、ヨーグルト。
・午前中は、現場作業でした。
・昼食前血糖値は低く、88mg/dlでした。
・昼食 :「松屋」ビーフカレー、豚汁。
・午後からは、出かけました。
・夕食前血糖値は良好で、99mg/dlでした。
・夕食:幕の内弁当。
| 2022-04-09 | 血糖値 | 食事 | 即効性インスリン 注射量 | 持続性インスリン 注射量 |
| 昨夕時 | 188 | ハンバーグ、ポテトサラダ コーンスープ、ご飯一膳160g | 15 | 17 |
| 今朝時 | 149 | 食パン1枚、サラダ ヨーグルト | 11 | |
| 今昼時 | 88 | ビーフカレー、豚汁 | 12 | |
| 今夕時 | 99 | 幕の内弁当 | 14 | 16 |



